
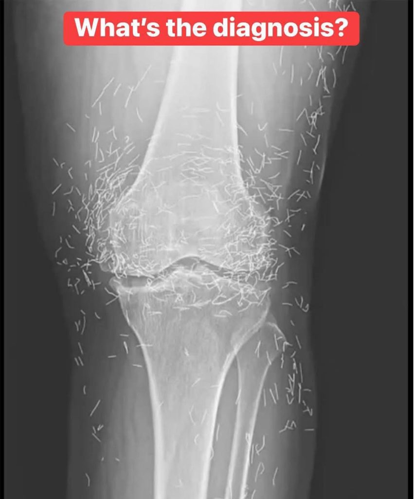
Upon reviewing an X-ray of an elderly woman’s painful knees, doctors made a startling discovery: her tissue contained hundreds of tiny, retained gold acupuncture needles. The 65-year-old patient from South Korea suffered from osteoarthritis and had sought acupuncture after conventional pain medication proved ineffective and caused stomach issues.
Acupuncture is an alternative medical practice that involves inserting needles at specific points on the body to relieve pain or treat various conditions. In this particular treatment, gold needles were intentionally left embedded in her tissue to provide ongoing stimulation.
However, according to Dr. Ali Guermazi, a radiology professor at Boston University, leaving any foreign object inside the body carries significant risks. These include inflammation, abscess formation, and infection.
Retained needles can also complicate medical imaging. They may obscure anatomical details on an X-ray, making accurate diagnosis more challenging.
The body naturally attempts to isolate foreign objects through inflammatory responses and the formation of fibrous tissue. Additionally, retained metal needles can prevent patients from undergoing MRI scans due to the risk of movement and potential damage to nearby arteries.
The report notes that despite little scientific evidence supporting its efficacy, acupuncture—including the insertion of sterile gold threads—is a common treatment for arthritis in many Asian countries.
In the United States, acupuncture remains widely used. A 2007 survey indicated that approximately 3.1 million adults and 150,000 children received acupuncture treatments that year.